El evento vascular cerebral hemorrágico (EVC hemorrágico) constituye una urgencia neurológica con elevada morbimortalidad, especialmente en pacientes con factores de riesgo como hipertensión arterial sistémica de larga evolución. La hemorragia intracerebral profunda, particularmente a nivel talámico, se asocia con daño de arterias perforantes y deterioro neurológico significativo.
Datos Generales
- Paciente: Femenino, 73 años
- Procedencia: Otumba, Estado de México
- Antecedentes relevantes:
- Hipertensión arterial sistémica (5 años, mal control)
- Diabetes mellitus tipo 2 (20 años)
Antecedentes de Importancia
Paciente con enfermedades crónico-degenerativas de larga evolución, destacando hipertensión arterial sistémica con probable control subóptimo y diabetes mellitus tipo 2. Presenta dependencia funcional leve (Barthel 85) y baja carga de comorbilidad (Charlson 2). Refiere exposición crónica a humo de leña, lo cual puede contribuir a inflamación sistémica crónica.
Padecimiento Actual
Paciente femenina de 73 años que inicia su cuadro clínico el 02 de abril de 2026, caracterizado por aparición súbita de alteración neurológica, manifestada por lenguaje incoherente, estado de indiferencia al medio y datos de compromiso del estado de alerta. Es encontrada por familiar en decúbito supino, con facies álgica y sin respuesta adecuada al entorno.
Se documentan cifras tensionales severamente elevadas (>200/120 mmHg) en unidad de primer nivel, sin disponibilidad de estudios de imagen, motivo por el cual se realiza referencia para valoración especializada a segundo nivel de atención. Posteriormente, se confirma mediante tomografía de cráneo la presencia de hemorragia intracerebral, por lo que es ingresada para manejo integral por el servicio de medicina interna.
Exploración Física
A la exploración física, se encuentra paciente femenina de edad aparente acorde a la cronológica, en estado general comprometido, con alteración del estado de conciencia. Neurológicamente, presenta Glasgow de 10 puntos, con desorientación en persona, tiempo y espacio.
Destaca desviación de la comisura labial hacia la izquierda, así como hemiparesia derecha predominante en extremidad superior con fuerza muscular 2/5, mientras que el resto de las extremidades conservan fuerza. Se observa desviación de la mirada hacia abajo y a la derecha, con reflejos pupilares conservados y simétricos. Los reflejos osteotendinosos son normales y simétricos, sin datos de liberación piramidal franca.
El resto de la exploración revela signos vitales con presión arterial de 153/74 mmHg, frecuencia cardiaca de 102 lpm, frecuencia respiratoria de 18 rpm y saturación de oxígeno de 92%. Mucosas orales deshidratadas. Tórax con adecuada mecánica ventilatoria sin estertores. Ruidos cardiacos rítmicos sin soplos. Abdomen sin datos de irritación peritoneal ni visceromegalias. Extremidades íntegras, con pulsos periféricos conservados y llenado capilar adecuado.
Paraclínicos
Biometría hemática
- Leucocitos: 7.7 → dentro de rango normal
- Hemoglobina: 14.2 g/dL → sin anemia
- Plaquetas: 197 mil → normales
👉 Interpretación: Sin datos de respuesta inflamatoria sistémica ni alteraciones hematológicas que condicionen sangrado.
Electrolitos séricos
- Sodio: 141 mEq/L
- Potasio: 3.5 mEq/L
- Cloro: 106 mEq/L
👉 Interpretación: Electrolitos dentro de rango, sin alteraciones que contribuyan a deterioro neurológico.
Química sanguínea
- Glucosa: 124 mg/dL
- Creatinina: 0.72 mg/dL
- TFG: 88 ml/min/1.73m² (ERC estadio II)
- Triglicéridos: 289 mg/dL
👉 Interpretación:
- Glucosa ligeramente elevada, esperable en paciente diabético
- Función renal conservada
- Dislipidemia (hipertrigliceridemia), factor de riesgo cardiovascular adicional
Gasometría arterial
- pH: 7.43
- pCO₂: 39 mmHg
- HCO₃: 25.9
👉 Interpretación: Estado ácido-base normal, sin acidosis ni alcalosis.
Electrocardiograma
- Ritmo sinusal normal
- Sin datos de isquemia o lesión
👉 Interpretación: Sin evidencia de compromiso cardiaco agudo.
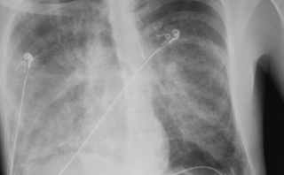
Radiografía de tórax
- Aumento de trama bronquial
- Engrosamiento parahiliar
👉 Interpretación: Cambios crónicos probablemente asociados a exposición a humo de leña.
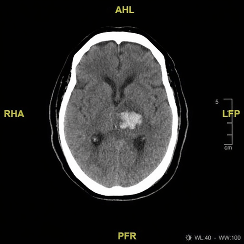
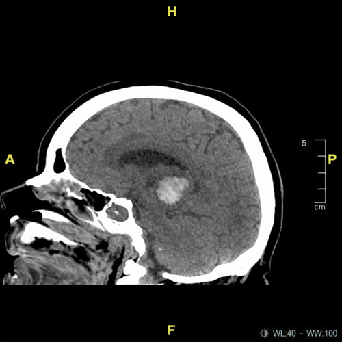
Tomografía de cráneo
- Hemorragia intraparenquimatosa talámica izquierda
- ICH score: 1 punto


Diagnósticos
- Evento vascular cerebral hemorrágico (hemorragia talámica izquierda)
- Crisis hipertensiva con daño a órgano blanco
- Síndrome piramidal incompleto derecho
- Diabetes mellitus tipo 2
Escalas de Severidad
- NIHSS: 15 puntos
- ICH Score: 1 punto
- SOFA: 2 puntos
Evolución
Durante su estancia hospitalaria, la paciente presentó deterioro neurológico progresivo, evidenciado por disminución del estado de alerta y empeoramiento del puntaje en la escala de Glasgow. Ante la progresión clínica y el riesgo de compromiso de la vía aérea, se decidió manejo avanzado de la vía aérea, requiriendo soporte ventilatorio para protección neurológica y control de parámetros fisiológicos.
Se mantuvo bajo vigilancia estrecha, con manejo enfocado en control hemodinámico estricto, optimización metabólica y prevención de complicaciones neurológicas secundarias.
Análisis Clínico
Se trata de un caso clásico de hemorragia intracerebral hipertensiva, secundaria a daño crónico de arterias perforantes profundas. La localización talámica explica la combinación de alteraciones motoras y del estado de alerta.
El deterioro neurológico progresivo observado es consistente con:
- Expansión del hematoma
- Edema perihematoma
- Incremento de presión intracraneal
El manejo se centra en:
- Control estricto de presión arterial
- Protección de vía aérea
- Manejo de presión intracraneal
- Control metabólico
Conclusión
El evento vascular cerebral hemorrágico representa una urgencia neurológica con alto impacto clínico. Este caso ilustra la evolución típica de una hemorragia talámica hipertensiva, así como la importancia del reconocimiento temprano, el manejo intensivo y la prevención secundaria.
El control adecuado de la hipertensión arterial continúa siendo la principal estrategia para reducir la incidencia de esta patología.
🔗 Referencias y Enlaces Externos
- American Heart Association
https://www.ahajournals.org/doi/10.1161/STR.0000000000000069 - American Stroke Association
https://www.stroke.org/en/about-stroke/types-of-stroke/hemorrhagic-stroke - European Stroke Organisation
https://eso-stroke.org/guidelines/ - National Institutes of Health
https://www.ncbi.nlm.nih.gov/books/NBK553103/ - World Health Organization
https://www.who.int/news-room/fact-sheets/detail/stroke-cerebrovascular-accident - UpToDate
https://www.uptodate.com/contents/spontaneous-intracerebral-hemorrhage-treatment-and-prognosis - Radiopaedia
https://radiopaedia.org/articles/intracerebral-haemorrhage
