La neumonía por Pneumocystis jirovecii es una de las infecciones oportunistas más frecuentes y potencialmente mortales en pacientes con VIH avanzado. Su presentación subaguda, la hipoxemia desproporcionada y las complicaciones asociadas, como el síndrome de dificultad respiratoria aguda (SDRA), representan un reto diagnóstico y terapéutico en la práctica clínica.
En este caso clínico se describe la evolución de un paciente con VIH no tratado que desarrolla neumonía grave por Pneumocystis jirovecii, complicada con ventilación mecánica y neumotórax secundario.
Datos generales
Paciente masculino de 37 años, originario y residente de Ecatepec, Estado de México, ocupación escultor.
Antecedentes de importancia
- Diagnóstico reciente de infección por VIH (marzo 2026)
- Sin inicio de terapia antirretroviral
- Desconoce carga viral y conteo de CD4
- Conducta sexual de riesgo (HSH, uso intermitente de preservativo)
- Sin comorbilidades relevantes
Padecimiento actual
Paciente masculino de 37 años quien presenta un cuadro clínico de aproximadamente seis meses de evolución caracterizado por síndrome constitucional, manifestado por pérdida de peso no intencionada cercana a 10 kg, fiebre de predominio nocturno y diaforesis, asociado a evacuaciones diarreicas crónicas de al menos tres episodios al día, sin mejoría con manejo previo.
Inicia su padecimiento respiratorio el 16 de marzo de 2026 con disnea progresiva inicialmente de medianos esfuerzos (MRC 2), acompañada de tos seca y fiebre hasta 39 °C, por lo que recibe tratamiento antibiótico ambulatorio con levofloxacino, con mejoría parcial. Posteriormente presenta progresión de la disnea hasta hacerse de pequeños esfuerzos (MRC 3), motivo por el cual es hospitalizado en unidad privada, donde recibe tratamiento antibiótico empírico y oxígeno suplementario, sin resolución completa.
A su ingreso a centro hospitalario de referencia, presenta hipoxemia con saturación de oxígeno del 78 % al aire ambiente. Los estudios de imagen muestran patrón intersticial difuso bilateral sugestivo de neumonía atípica. Durante su evolución intrahospitalaria progresa a insuficiencia respiratoria hipoxémica severa, requiriendo ventilación mecánica invasiva.
Exploración física
A la valoración inicial, paciente consciente, orientado en tiempo, espacio y persona, con escala de Glasgow de 15 puntos. Se encuentra hemodinámicamente estable, con saturación de oxígeno de 96% bajo aporte suplementario por medio de puntas nasales a 2 lpm.
A la exploración torácica se identifican estertores crepitantes bilaterales, con aumento de las vibraciones vocales y submatidez a la percusión, integrando un síndrome pleuropulmonar de condensación. El resto de la exploración física no muestra alteraciones relevantes.
Laboratorios
📊 Biometría hemática
- Leucocitos: 6.9 x10³/µL
- Neutrófilos: 5.14
- Linfocitos: 1.38
- Hemoglobina: 12.9 g/dL
- Plaquetas: 577 x10³/µL
🧠 Interpretación:
- Anemia leve normocítica → enfermedad crónica
- Trombocitosis reactiva → inflamación sistémica
- Linfocitos bajos relativos → inmunosupresión
⚗️ Química sanguínea
- Creatinina: 0.69 mg/dL
- AST: 54 U/L
- ALT: 42 U/L
- Albúmina: 2.9 g/dL
🧠 Interpretación:
- Función renal conservada
- Citólisis leve
- Hipoalbuminemia → mal estado nutricional
⚡ Electrolitos
- Sodio: 136 mEq/L
- Potasio: 4.46 mEq/L
👉 Sin alteraciones relevantes
🫁 Gasometría
- pH: 7.5
- PCO₂: 32 mmHg
- PO₂: severamente disminuido
🧠 Interpretación:
- Alcalosis respiratoria
- Hipoxemia severa
👉 Hallazgo característico de neumonía por Pneumocystis jirovecii
Diagnósticos
- Neumonía por Pneumocystis jirovecii
- Síndrome de dificultad respiratoria aguda (SDRA severo)
- VIH avanzado (SIDA)
Evolución clínica
Durante su estancia hospitalaria, el paciente presenta deterioro progresivo de la función respiratoria, con incremento de los requerimientos de oxígeno hasta desarrollar insuficiencia respiratoria hipoxémica severa, por lo que se decide inicio de ventilación mecánica invasiva.
La tomografía de tórax evidencia patrón intersticial difuso bilateral con presencia de lesiones quísticas compatibles con neumatoceles, característicos de infección por Pneumocystis jirovecii.
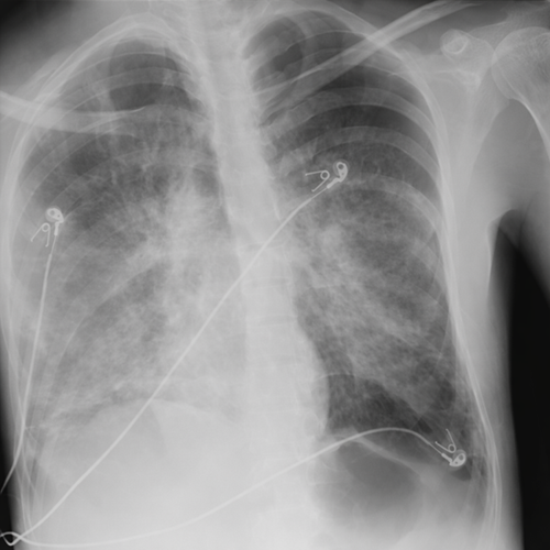
Posteriormente, el paciente presenta deterioro súbito con incremento de presiones ventilatorias y desaturación, realizándose radiografía de tórax donde se identifica neumotórax izquierdo, compatible con barotrauma secundario a ventilación mecánica.
Este evento condiciona un punto crítico en la evolución, incrementando significativamente el riesgo de mortalidad.



Análisis
Este caso representa una forma avanzada de infección oportunista en el contexto de inmunosupresión severa por VIH sin tratamiento. La evolución subaguda con síndrome constitucional, diarrea crónica y compromiso respiratorio progresivo orienta hacia un estado de inmunodeficiencia significativa.
La neumonía por Pneumocystis jirovecii se manifiesta con disnea progresiva, tos seca e hipoxemia marcada, destacando la discordancia entre la gravedad gasométrica y los hallazgos clínicos iniciales.
El desarrollo de SDRA refleja daño alveolar difuso, mientras que la formación de neumatoceles condiciona fragilidad estructural pulmonar. La ventilación mecánica, aunque necesaria, incrementa el riesgo de ruptura alveolar, desencadenando barotrauma.
La aparición de neumotórax representa un punto de inflexión crítico, ya que complica el manejo ventilatorio y se asocia a alta mortalidad.
Conclusión
La neumonía por Pneumocystis jirovecii continúa siendo una causa importante de morbimortalidad en pacientes con VIH avanzado. Este caso destaca la importancia del diagnóstico oportuno, el tratamiento adecuado y la vigilancia estrecha de complicaciones como el barotrauma.
El desarrollo de neumotórax en este contexto representa una complicación grave que impacta directamente en el pronóstico, subrayando la necesidad de estrategias ventilatorias protectoras y manejo multidisciplinario.
🌐 Enlaces externos
- https://www.cdc.gov/pneumocystis/
- https://www.cdc.gov/hiv/
- https://www.who.int/news-room/fact-sheets/detail/hiv-aids
- https://www.idsociety.org/practice-guideline/community-acquired-pneumonia-cap-in-adults/
- https://www.idsociety.org/practice-guideline/opportunistic-infections-in-hiv/
- https://www.atsjournals.org/
- https://erj.ersjournals.com/
- https://www.uptodate.com/contents/pneumocystis-jirovecii-pneumonia-in-patients-with-hiv
📚 Referencias bibliográficas
- Panel on Opportunistic Infections in Adults and Adolescents with HIV.
Guidelines for the prevention and treatment of opportunistic infections in adults and adolescents with HIV. NIH. - Thomas CF, Limper AH.
Pneumocystis pneumonia.
N Engl J Med. 2004;350:2487–2498. - Morris A, Lundgren JD, Masur H, et al.
Current epidemiology of Pneumocystis pneumonia.
Emerg Infect Dis. 2004;10(10):1713–1720. - Torres A, et al.
Guidelines for the management of community-acquired pneumonia.
Am J Respir Crit Care Med. - Masur H, et al.
Management of Pneumocystis jirovecii pneumonia.
Clin Infect Dis. - Fan E, et al.
Acute Respiratory Distress Syndrome: Advances in Diagnosis and Treatment.
JAMA. 2018.
